МР-томограммы поясничного отдела позвоночника
Магнитно-резонансная томография — высокоинформативный метод диагностики, способный выявить целый ряд патологий. Одно из показаний к проведению МРТ — боли в спине, появляющиеся при проблемах с мышцами, суставами, нервными окончаниями позвоночника и на фоне заболеваний внутренних органов.
Чаще всего неприятные ощущения возникают:
- после травм;
- при мышечном перенапряжении;
- при спазме околопозвоночной мускулатуры в результате избыточной нагрузки на спину;
- после длительного пребывания в одной позе;
- при неподготовленных движениях во время занятий спортом;
- вследствие растяжения или повреждения мышц;
- после переохлаждения и нахождения на сквозняке.
Болевой синдром в спине вызывают:
- врожденные аномалии и приобретенные патологии позвоночника (клиновидный дефект, расщепление позвонков, спондилолиз, сколиоз, спондилолистез и др.);
- остеохондроз — дегенеративные изменения хрящевой ткани межпозвонковых дисков с образованием грыж;
- спондилоартроз — деструктивно-дистрофическое заболевание дугоотросчатых и реберно-поперечных суставов;
- спондилоартрит — воспаление дугоотросчатых межпозвонковых суставов;
- острая, подострая, хроническая компрессии нервных корешков и сосудов спинного мозга;
- остеопороз — снижение плотности костной ткани (при длительных статических нагрузках болит в грудном и поясничном отделах позвоночника);
- спондилит и спондилодисцит — воспалительно-дегенеративное заболевание межпозвонковых дисков и смежным им позвонков специфического (туберкулез, сифилис и пр.) и неспецифического характера (иная бактериальная инфекция);
- остеомиелит — гнойно-некротическое поражение костных тканей позвоночника;
- первичные и метастатические опухоли внутренних органов, позвоночника и спинного мозга;
- сердечно-сосудистые патологии (инфаркт миокарда, ишемическая болезнь сердца и пр.);
- острые заболевания респираторной системы (пневмония, разрывы булл при эмфиземе легких и пр.);
- заболевания ЖКТ (пенетрирующая язва желудка, острый холецистит, острый панкреатит и др.);
- болезни органов малого таза;
- тревожные расстройства, депрессия, истерия.
Поводом к назначению МРТ могут стать не только боли в спине, но и потеря чувствительности конечностей или туловища.
На снимке МРТ представлен поясничный остеохондроз, стрелками обозначен пораженный диск с формированием спондилодисцита
Болит спина: МРТ какого отдела нужно делать
С учетом характера проблемы невролог может назначить магнитно-резонансную томографию одного отдела позвоночника или проведение комплексного обследования. Сканирование зоны с выраженным болевым синдромом не всегда позволяет поставить точный диагноз, в некоторых случаях целесообразно проверить все области спины.
По снимкам можно получить представление о:
- размерах и форме тел позвонков;
- высоте и плотности дисков;
- диаметре спинномозгового канала;
- структуре спинного мозга;
- состоянии позвоночного столба (физиологические изгибы, искривления);
- толщине связок;
- состоянии межпозвонковых суставов;
- наличие патологических образований любой природы.
Опухоль спинного мозга на МР-томограмме (обозначена стрелкой)
При помощи МРТ-диагностики выявляют различные нарушения:
- смещение позвонков;
- протрузии и грыжи межпозвонковых дисков;
- патологии развития позвоночного столба;
- поражения спинного мозга;
- новообразования;
- последствия травм (трещины и переломы тел позвонков);
- дегенеративные и дистрофические изменения;
- воспалительные процессы.
На основании полученных результатов рентгенолог делает предварительное заключение. Постановкой окончательного диагноза и разработкой плана терапии занимается лечащий врач. Если МРТ позвоночника не обнаружила причину болей в спине, проводят дополнительное обследование внутренних органов, патологии которых могут их вызвать.
МРТ при болях в пояснице
На поясничный отдел позвоночника приходится максимальная нагрузка, поэтому в данной зоне спина болит чаще всего. Обычно возникает недомогание при резких движениях, после травм, поднятия тяжестей, при долгом нахождении в одной позе, после переохлаждения. Боли могут различаться по характеру и интенсивности. Нередко они иррадиируют в бедро, голень, стопу и сопровождаются ощущениями покалывания, онемения, бегающих мурашек, жжения.
МРТ делают при постоянных болях в пояснице и появлении других симптомов:
- ослаблении или утрате чувствительности и двигательных функций нижних конечностей;
- онемении, “прострелах” в ногах;
- дискомфорте при ходьбе и в положении сидя;
- нарушении работы кишечника или мочевого пузыря, сопровождающиеся болями в пояснице, крестце, промежности и ягодицах.
Магнитно-резонансную диагностику проводят при подозрении на опухоли, пороках развития позвоночника, в рамках предоперационного обследования и для контроля лечения.
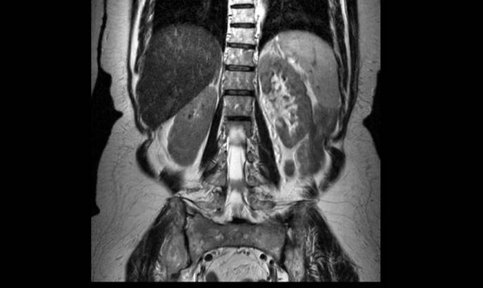
МР-томограмма поясничного отдела позвоночника
Исследование показывает:
- последствия травм (трещины, переломы);
- проблемы с межпозвонковыми дисками (протрузии, грыжи, секвестрация, разрывы, дегенеративно-воспалительные процессы, защемление нервов и др.);
- стеноз (сужение) спинномозгового канала;
- доброкачественные новообразования (гемангиомы, невриномы, менингиомы и пр.), злокачественные опухоли и метастазы области интереса (окончательный вывод о характере патологии делают после биопсии);
- потерю костной массы;
- воспаление суставов (артриты);
- деструкцию позвонков (спондилит);
- нарушение кровообращения в зоне поясницы;
- врожденные дефекты позвонков.
МРТ при боли в грудном отделе
Данный отдел позвоночника самый большой, здесь насчитывается 12 позвонков. Патологии и аномалии в рассматриваемой зоне могут стать причиной постоянных болей и ограничения подвижности, ухудшающих качество жизни.
На МРТ направляют при:
- болевом синдроме, чаще в межлопаточной области;
- чувстве скованности, онемения в области грудной клетки;
- “прострелах” в спине;
- неприятных ощущениях после травмы;
- признаках поражения спинного мозга (ухудшении подвижности тела, подергивании мышц спины и живота, затруднении дыхания, слабости и онемения в обеих ногах одновременно и др.);
- при болях в левой половине грудной клетки, после исключения патологии со стороны сердца.
На МР-изображении стрелками показан ушиб шестого грудного позвонка (визуализируется отек костных структур без деформации тела позвонка)
В грудном отделе, как и в случаях, когда болит поясница, МРТ выявляет:
- остеохондроз;
- межпозвонковые грыжи и протрузии;
- врожденные аномалии развития костных и мягких тканей;
- опухоли и метастазы;
- стеноз позвоночного канала;
- сдавление и нарушения кровоснабжения спинного мозга;
- воспалительные процессы.
МРТ при боли в шейном отделе
Самая частая причина болей в шее связана с гипертонусом мышц, возникающим при некоторых состояниях и заболеваниях. Напряженность может появиться при:
- остеохондрозе;
- грыжах, в том числе секвестрированных, и протрузиях межпозвонковых дисков;
- переломах, трещинах и вывихах позвонков;
- травмах и растяжениях мышц шейного отдела;
- общих переохлаждениях и нахождении на сквозняке без шарфа;
- паркинсонизме;
- ряде инфекционных заболеваний.
При гипертонусе мышц человек испытывает боли давящего или ноющего характера, распространяющиеся на голову или область плеч. При попытках согнуть шею неприятные ощущения резко усиливаются. Болезненность мешает нормальным движениям.
Кроме этих симптомов есть и другие показания к тому, чтобы сделать МРТ:
- регулярные головные боли;
- слабость, ощущение ползания мурашек в руках;
- головокружения;
- частые обмороки;
- помутнение и “мушки” в глазах;
- ухудшение слуха;
- шум, свист, пульсация в ушах;
- шаткость походки;
- хроническая усталость.
На МР-томограмме представлен остеохондроз шейного отдела позвоночника с формированием задней грыжи диска между пятым и шестым шейными позвонками, сдавливающий позвоночную артерию: стрелкой указан сформировавшийся в итоге участок инфаркта (нарушения процесса кровообращения) спинного мозга
Процедура магнитно-резонансной томографии помогает диагностировать ряд патологий шейного отдела позвоночника, при которых может болеть спина:
- новообразования и метастазы;
- остеохондроз;
- протрузии дисков и межпозвонковые грыжи;
- компрессию спинного мозга;
- защемление нервных окончаний;
- спондилит, спондилоартрит;
- аномалии развития шейных позвонков;
- нарушение кровообращения;
- стеноз спинномозгового канала;
- ослабление кровотока в тканях;
- остеомиелит, в том числе туберкулезный, тел позвонков и воспаление дисков;
- гематомы на поздней стадии;
- шейный миозит;
- рассеянный склероз, сирингомиелию и прочие дегенеративные заболевания спинного мозга;
- трещины, переломы позвонков.
При боли в спине что лучше: КТ или МРТ
Пациентов, у которых болит спина, интересует вопрос — делать МРТ или КТ? Выбор диагностического метода остается за специалистом. Более безопасной считается магнитно-резонансная томография, так как во время исследования человек не подвергается облучению.
При острых травмах с повреждением тел позвонков рекомендуется сделать КТ, так как компьютерная диагностика лучше показывает костные ткани. Данный вид обследования применяют, если пациент не может длительное время сохранять неподвижность и при противопоказаниях к МРТ.
Когда нужно изучить состояние спинного мозга, сосудов, выявить наличие межпозвонковой грыжи, следует сделать магнитно-резонансную томографию, которая прекрасно визуализирует мягкие ткани.
В ряде случаев для изучения одной и той же области могут потребоваться сразу оба исследования.
Сравнение компьютерной и магнитно-резонансной томограмм
Может ли болеть спина после МРТ
Процедура магнитно-резонансной томографии позвоночника длится от 30 минут до часа. Это время обследуемый должен не шевелясь провести в горизонтальном положении. Некоторым пациентам трудно пройти диагностику, так как больно лежать на спине.
Неприятные ощущения могут быть физиологическими (из-за невозможности сменить позу) либо являться следствием заболеваний мышечно-хрящевых или костных структур позвоночника. Вероятность появления болей в спине после МРТ высока при:
- остеохондрозе, артрозах;
- острых воспалительных процессах (спондилит);
- межпозвонковых грыжах, локализованных в пояснично-крестцовом отделе позвоночника.
Подготовка пациентки к МРТ позвоночника
Если болевой синдром выражен достаточно сильно, пациенту нужно, не дожидаясь окончания сканирования, нажать “тревожную кнопку” для прекращения процедуры.
Цены на МРТ позвоночника в СПб
Источник
Поскольку большинство случаев боли в пояснице не связано с единственной причиной, а являются неспецифическими, томография требуется далеко не всем пациентам, обращающимся за помощью.
За исключением случаев полученной травмы, предпочтительно проведение магнитно-резонансной томографии (МРТ) пояснично-крестцового отдела позвоночника.
При боли в спине исследование срочно проводится пациентам с развитием грубых и нарастающих неврологических нарушений, а также тем, у кого ранее были выявлены злокачественные опухоли с возможностью распространения в позвоночник и другие заболевания, вызывающие поражение или разрушение позвонков (миеломная болезнь, выраженный остеопороз).
МРТ пояснично-крестцового отдела позвоночника проводится в следующих случаях:
- Развитие синдрома «конского хвоста» — нарушение функции мочевого пузыря и прямой кишки (задержка мочи), седловидная анестезия, двусторонние слабость и онемение нижних конечностей. Синдром «конского хвоста» является неотложным состоянием.
- Подозрение на сдавление спинного мозга: нарушения чувствительности, которые распространяются снизу вверх в сочетании нарушениями мочеиспускания и дефекации, пирамидными знаками с нижних конечностей (симптом Бабинского, клонноидный рефлекторный ответ).
- Прогрессирующие или тяжёлые неврологические нарушения (выпадения чувствительных и двигательных функций).
- Клинические и/или лабораторные признаки инфекционного воспаления (субфебрилитет/лихорадка; лейкоцитоз, повышение СОЭ и/или концентрации С-реактивного белка) без чёткой установленной причины.
- Корешковые нарушения чувствительных и двигательных функций в соответствии со следующим набором (как изолированно, так и в сочетании) (см.таблицу)
- Если этих нарушений нет, МРТ проводится когда продолжительность боли составляет не менее 4-6-ти недель (у большинства пациентов, боль в спине проходит в более короткие сроки, а МРТ не даёт точной информации о причине боли).
Наиболее распространённые области распределения боли при поражении корешков спинного мозга
Клинические признаки поражения корешков спинного мозга
| Корешок | Распространение боли | Область снижения чувствительности | Снижение силы мышц |
|---|---|---|---|
| L1 | Паховая область | Паховая область | Сгибания бедра (редко) |
| L2,3,4 | Боль в спине,иррадиирующая в переднюю поверхность бедра, периодически — в нижнюю поверхностьмедиальной части бедра | Передняя поверхность бедра, редко медиальная поверхность нижней части бедра | Сгибание бедра, отведение бедра, разгибание в коленном суставе |
| L5 | Боль в спине,иррадиирующая в ягодичную область, по латеральной поверхности бедра,латеральной поверхности голени, тыльной поверхности стопы, в большой палец | По латеральной поверхности голени, тыла стопы, межпальцевом промежутке между I и II пальцами стопы | Отведение в тазобедренном суставе, сгибание в коленном суставе, тыльное сгибание стопы, сгибание и разгибание пальцев стопы, супинация и пронация стопы |
| S1 | Боль в спине,иррадиирующая в ягодичную область, в латеральную или заднюю поверхность бедра, заднюю поверхность голени, боковую или подошвенную поверхность стопы | Задняя поверхность голени, латеральная или подошвенная поверхность стопы | Разгибание бедра, сгибание в коленном суставе, подошвенное сгибание стопы |
| S2-S3-S4 | Боль в крестцовом отделе позвоночника или в ягодичной области,иррадиирующая по задней поверхности бедра или в промежность | Медиальная поверхность ягодицы, промежность и перианальная область | Возможна минимальная слабость в сочетании с недержанием кала и мочи, а также с сексуальной дисфункцией |
У части пациентов, у которых боли в спине на основании клинических признаков рассматриваются как неспецифические, могут быть пропущены важные находки. В исследовании установлена следующая вероятность:
- опухолевое или метастатическое поражение позвоночника — 0,7%
- компрессионный перелом — 4%
- инфекционное поражение позвоночника — 0,01%*
Однако, последствия тревоги пациентов от выявленных малозначимых дегенеративных изменений, а также вред от напрасно выполненных нейрохирургических вмешательств, зачастую бывают опаснее.
Если МРТ противопоказана, исследование можно заменить компьютерной томографией. Это метод, основанный на обработке серии рентгеновских изображений, удовлетворительно оценивает межпозвонковые диски. В сомнительных случаях возможно проведение КТ миелографии — контрастного исследования формы спинномозгового канала.
Источник
Проблемы с позвоночником у взрослых и детей сегодня не редкость. Малоподвижный образ жизни, сидячая работа, долгие часы проведенные за компьютером — все это не лучшим образом сказывается на здоровье нашей спины. Остеохондроз, артроз межпозвонковых суставов, их воспаление, спазм мышечных волокон и перенапряжение , грыжи… Причин, вызывающих боль в пояснице, грудине , в области сердца, плечах может быть немало. Проблемы в шейном отделе позвоночника могут быть одной из причин серьезных головных болей. Вовремя выявить патологию и точно поставить правильный диагноз при болях в спине помогает такой метод диагностики, как МРТ (магнитно-резонансная томография). Как МРТ позвоночника позволяет избежать серьезных проблем со здоровьем, вовремя получить квалифицированную помощь и вести здоровый образ жизни правильно? Поговорили об этом с заведующим рентгеновским отделением, врачом-рентгенологом медицинского лучевого центра «МЛЦ» Алексеем Либерманом. Кстати, проголосовать за это учреждение можно в проекте «Клиника года» прямо сейчас.
— Алексей Викторович, что такое МРТ и в каких случаях нужен этот вид исследований?
— МРТ – это современный метод диагностики, позволяющий получить анатомические изображения органов без использования рентгеновских лучей. Во многих случаях только МРТ может получить диагностическое изображение, необходимое для выбора эффективного способа лечения.
Поговорили с заведующим рентгеновским отделением врачом-рентгенологом медицинского лучевого центра «МЛЦ» Алексеем Либерманом.
— Какой вид МРТ наиболее востребован у жителей Самары?
— Одно из наиболее часто проводимых исследований – МРТ позвоночника. Оно позволяет увидеть даже начальные изменения в тканях, позвонках, связках ,суставах, только зарождающуюся грыжу и даже онкологию на начальных стадиях. Соответственно, имея такие подробные и грамотные результаты диагностики врач -специалист может начать лечение заблаговременно. Чаще всего МРТ предлагает сделать специалист, которому уточняющая информация необходима для постановки диагноза- это невролог, остеопат . Но человек может прийти и самостоятельно, если его беспокоят боли различной локализации. МРТ позвоночника будет целесообразно пройти при болях в шее, спине, области ягодиц, головных болях, а также в том случае, если вы чувствуете онемение рук, нарушение чувствительности ног. Если вы чувствуете боли, но не знаете какой вид МРТ вам сделать, то в «МЛЦ» врач-рентгенолог обязательно поможет определить, что нужно именно вам.
Здесь проведут точную и понятную диагностику
— То есть прийти к вам можно и без направления профильного специалиста?
Для того чтобы пройти МРТ в Самаре, можно просто обратиться в наш медицинский центр «МЛЦ». Перед обследованием врач-рентгенолог задаст вам вопросы, чтобы уточнить то, что вас беспокоит. После такой мини-консультации врач-рентгенолог порекомендует обследование, которое необходимо в вашем случае. Часто именно результаты МРТ становятся основанием для обращения к профильным специалистам. После обследования вы получите протокол с подробным и понятным описанием результатов и диск с изображениями. Врач-рентгенолог объяснит вам то, что написано в протоколе, и даст рекомендации к какому специалисту следует обратиться с вашей проблемой. Кстати, вы можете получить консультацию необходимого специалиста здесь же, в «МЛЦ».
— А если человек абсолютно здоров, и у него ничего не болит, нужно ли делать МРТ?
Отсутствие боли не значит, что у вас нет проблем со здоровьем позвоночника. Вы можете просто о них не знать, так как многие заболевания протекают бессимптомно. Выявление их на ранней стадии — залог успешного и быстрого лечения.
Также я советую пройти МРТ позвоночника тем, кто начинает вести здоровый образ жизни, планирует увеличение физической нагрузки: записался в спортзал, занимается бегом, лыжами, собирается кататься на коньках — ведь впереди зимний сезон. Важно понимать, что любая нагрузка на позвоночник должна быть точно рассчитана, при этом необходимо учитывать особенности именно вашего организма. В противном случае результатом полезных спортивных занятий могут стать грыжи, проблемы с суставами и другие травмы. В «МЛЦ» до 31 декабря можно пройти комплексное исследование «Твой позвоночник», в который входит МРТ трех отделов (шейного, грудного и пояснично-крестцового) со скидкой 20%. Эта программа поможет быстро и безболезненно узнать подробную информацию о здоровье позвоночника, скорректировать план занятий, выбрать те виды спорта, которые точно вам подходят и правильно рассчитать нагрузку. какого отдела и в каком случае нужно сделать.
— Можно ли проходить МРТ – диагностику детям?
Это исследование мы проводим МРТ детям с 6 лет, главное требование – чтобы малыш не был гиперактивным. И его даже нужно делать перед тем, например, как отдать ребенка в какую-то спортивную секцию с серьезными нагрузками, чтобы выяснить, нет ли ограничений для занятий этим видом спорта . Это поможет избежать многих проблем уже во взрослом возрасте.
В каких случаях при МРТ позвоночника применяется контрастирование? В чем разница между исследованием с контрастом или без него?
Необходимость проведения МРТ с контрастом определяет врач-рентгенолог. Контраст вводят для того, чтобы улучшить визуализацию исследуемой области. Уже во время разговора с пациентом до обследования, мы понимаем, нужен ли контраст. И, конечно, спрашиваем у пациента, будем ли делать МРТ с контрастом при необходимости? Окончательное решение за вами, конечно. Контрастное вещество, которое используют в «МЛЦ» безопасное и не вызывает аллергию, поэтому противопоказаний обычно не бывает.
— Кому нельзя делать МРТ?
-У МРТ почти нет противопоказаний. Есть только несколько моментов, на которые стоит обратить внимание. Нельзя делать МРТ в том случае, если у вас есть пирсинг или при наличии любых металлических предметов на теле( осколки от боевых предметов) , так как мы используем сильные магниты. Если же у вас клаустрофобия, то мы можем предложить пройти процедуру в томографе открытого типа Philips — Neusoft NSM-P035 0.35Т или томографе закрытого типа Siemens Magnetom Essenza 1.5Т, который оснащен специальными зеркалами, которые позволяют пациенту видеть, что происходит вокруг. Это значительно упрощает процесс обследования для тех, кто боится закрытого пространства. Более того, мы подобрали аппараты с максимально коротким тоннелем, поэтому с вами рядом могут находиться родные и близкие и держать за руку.
Как долго проводится обследование и сложно ли к нему готовиться?
Обследование занимает от 15 минут, готовиться к нему особенным образом не нужно. В «МЛЦ» практически сразу вам выдадут результаты, в течение получаса. В сложных случаях, если необходим консилиум или совещание с лечащим врачом, готовность результатов может занять чуть больше времени. В таком случае мы стараемся в течение 24 часов подготовить подробные результаты обследования, если удобно, отправляем их вам по электронной почте. Но я считаю, что важно самому обсудить результаты с пациентом, проговорить все и убедиться, что человек все понял сам.
Почему вы советуете пациентам обратиться в МЛЦ?
«МЛЦ» — это многопрофильный медицинский центр, который оказывает широкий спектр услуг по диагностике, лечению и реабилитации пациентов уже с 2009 года.
Однако, на протяжении этих 10 лет именно МРТ является одной из самых востребованных услуг «МЛЦ». Нравится обслуживание в центре? Голосуйте за него в проекте «Клиника года».
Почему стоит пойти в МЛЦ?
ДИАГНОСТИКА — ЭТО НАША СПЕЦИАЛИЗАЦИЯ!
Записывайтесь на приём (846) 373-30-30
г. Самара:
ул. Базарная, 30 (К.Маркса/ ул.Владимирская, Железнодорожный район)
ул. Медицинская,4-К (на территории ГБУЗ СО №10, Куйбышевский район)
ИМЕЮТСЯ ПРОТИВОПОКАЗАНИЯ. ПРОКОНСУЛЬТИРУЙТЕСЬ СО СПЕЦИАЛИСТОМ.
Лицензия Ло-63-01-004538 от 26.02.2018г.
Источник







